SEAN Kamati, a 26-year-old man from Windhoek, was diagnosed with a brainstem cavernoma in June this year.
Kamati said he had never heard of a cavernoma and did not know anyone else who did.
“When I was diagnosed I was scared but I had faith that I would recover.”
Kamati said that it all started in the beginning of June this year, when he believed to be suffering an ear infection. “But then we discovered it was much more, like headaches and numbness. I consulted a doctor and he sent me for scans. I was told I had what you call a cavernoma, a vascular malformation on my brain stem and it needed to be removed,” Kamati said.
He was also told cavernomas are clusters of abnormal blood vessels mainly found in the brain and spinal cord. They are sometimes known as cavernous angiomas, cavernous hemangiomas or cerebral cavernous malformations.
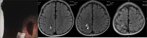
A typical cavernoma looks a bit like a blackberry.
According to the Toronto brain vascular malformation study group, some individuals are born with a tendency to develop cavernous malformations. “They are not a cancer, which means they cannot spread to other parts of the body. Occasionally, people can have multiple cavernomas.”
The study group further stated that it is important to know that a cavernous malformation can be present and not produce any symptoms.
They also say that the cavernous vessels may easily bleed, “This is the most serious complication of a cavernoma. If the cavernoma does bleed, it usually, but not always, starts with a headache. The headache starts suddenly and may be followed by nausea, neurological problems or a decreasing level of consciousness. Sometimes a bleed may be very small and produce very mild or no symptoms at all.
The group further added that there are two possible options available for patients who are found to have cavernoma, and one is surgery. Kamati underwent a seven-hour operation, which took place at the Grootte Schuur Hospital in Cape Town, South Africa on 7 June and said that it went well and that the abnormal formation of blood vessels in his brainstem was successfully removed.
“The operation removed all chances of future danger. All I want to tell people out there is to take their health seriously. One never knows that the smallest pain or discomfort could lead to something so big.”
In an age of information overload, Sunrise is The Namibian’s morning briefing, delivered at 6h00 from Monday to Friday. It offers a curated rundown of the most important stories from the past 24 hours – occasionally with a light, witty touch. It’s an essential way to stay informed. Subscribe and join our newsletter community.
The Namibian uses AI tools to assist with improved quality, accuracy and efficiency, while maintaining editorial oversight and journalistic integrity.
Stay informed with The Namibian – your source for credible journalism. Get in-depth reporting and opinions for
only N$85 a month. Invest in journalism, invest in democracy –
Subscribe Now!





